Категорија: Uncategorized
јул 14. 2025
Da li je bezbedno beljenje zuba kod kuće?
Beljenje zuba kod kuće postalo je izuzetno popularno zahvaljujući brojnim reklamiranim proizvodima i “uradi sam” metodama dostupnim na internetu. Od…
јул 9. 2025
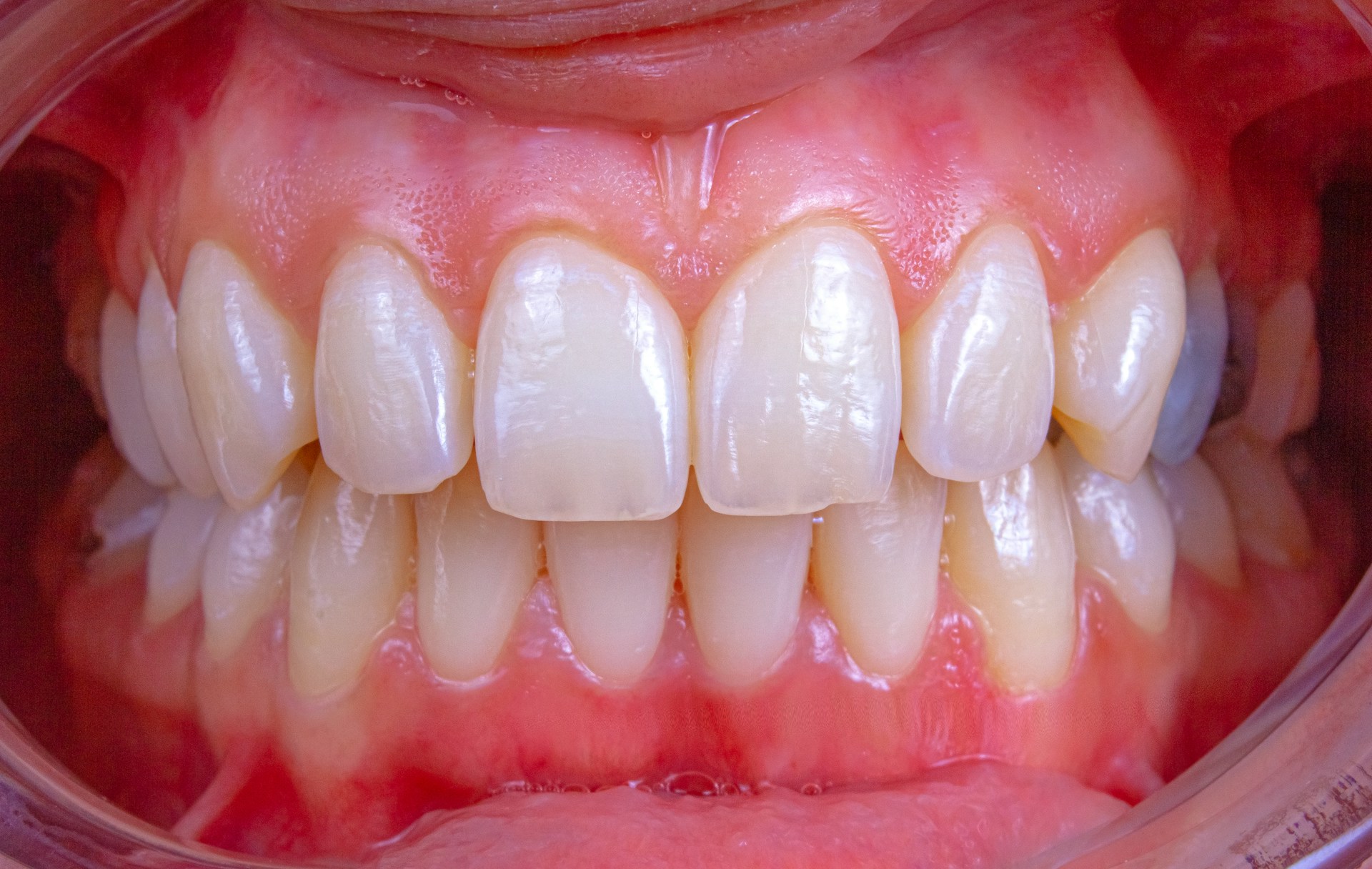
Implant ili most – šta je bolje rešenje za izgubljeni zub?
Gubitak zuba može značajno uticati na kvalitet života – od žvakanja i govora do samopouzdanja. Dva najčešća rešenja su zubni…
август 2. 2024
Kada je pravo vreme za detetovu prvu posetu stomatologu?
Odgovor je vrlo jasan. Od 6 meseca zivota, nicanjem prvog mlecnog zubica. "Iz kojih sve razloga je potreban tako "ran"…
август 2. 2024
Gubitak zuba u trudnoci. Istina ili mit?
Trudnoca se sa razlogom naziva drugo stanje. Od prvog dana trudnoce dolazi do promene hormonalnog statusa zene i stvari se…
